حساسية حبوب اللقاح، المسمية بالتهاب الأنف التحسسي الموسمي، أو حمى القش، وتظهر بشكل بارز في فصل الربيع والصيف، حينما تبدأ النباتات بإطلاق حبوب الطلع لتخصيب أبناء جنسها. ويبدأ الأنف بالسيلان
كشفت دراسة علمية جديدة أن بعض أشكال نزلات البرد قد تساعد في توفير الحماية ضد فيروس "كورونا" المستجد. وتوصل الخبراء إلى أن المناعة ضد الفيروس يمكن أن تستمر حتى 17
المقادير: نصف رأس خس 5 فجل 5 طماطم كرزية نصف حبة خيار كبير الحجم مقطّع إلى دوائر ربع كوب زيتون مشكل ملعقتان كبيرتان كزبرة جافة ملح (بحسب الرغبة) فلفل أسود
يُصادف 18 حزيران اليوم العالمي للسوشي، وبهذه المناسبة نقدم لكِ سيدتي في هذا المقال أهم فوائد السوشي للصحة، والجلد، والعقل: 1-غني بـ أوميغا 3 السوشي من المأكولات الغغنية بزيوت السمك
تعتبر منظمة الصحة العالمية الأطفال أقل عرضة للإصابة بفيروس كورونا المستجد، إلا انه يمكن أن يصاب الأطفال من جميع مراحلهم العمرية بفيروس كورونا (كوفيد 19). إلا أن الأعراض لا تكون
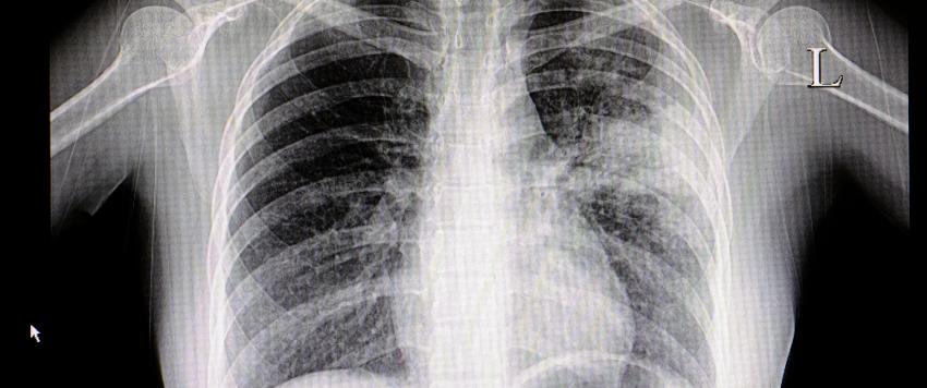
تليف الرئة من الأمراض الخطيرة التي قد تصيب الإنسان لما له من مضاعفات خطيرة، ويحدث نتيجة هذا المرض نقص فى كمية الأكسجين المتجهة إلى كافة أجهزة الجسم مما يسبب العديد
التصلب اللويحي هو مرض يضرب الجهاز العصبي، ويحدث عندما يقوم نظام المناعة الذاتي بمهاجمة الميلين، الغشاء المحيط بالأعصاب، يؤدي في كثير من الأحيان إلى الإنهاك، إذ يقوم جهاز المناعة في
مشكلة الإمساك تعتبر من أصعب المشاكل التي قد يعاني منها الإنسان وذلك بسبب عدم تحرك الأمعاء جيداً أو لضعف حركة الأمعاء بشكل منتظم ومتكرر والذي يتسبب في صعوبة في التبرز